Артроз каленнага сустава (ганартроз) - гэта дэгенератыўнае захворванне, пры якім храсток танчэй. Паводле статыстыкі, кожны пяты жыхар планеты пакутуе ад гэтай паталогіі. У гэтым артыкуле будзе разглядацца асноўныя прычыны артрозу, яго сімптомы на кожным этапе, а таксама метады дыягностыкі і лячэння.
Прычыны
Кожны дзень каленныя суставы адчуваюць вялікую нагрузку пры хадзе. У рэшце рэшт, яны павінны супрацьстаяць масе ўсяго цела. У выніку гэтага назіраецца паступовае знос храстковай тканіны, што з'яўляецца прычынай паталагічных змен у каленях.
Група рызыкі ўключае людзей:
- пажылыя,
- пакутуе ад залішняй вагі,
- Маючы астэапароз і парушэнні абмену рэчываў,
- калі -небудзь атрымалі траўму калена,
- прадстаўляючы пэўныя прафесіі,
- пакутуе ад дэфіцыту мікраэлементаў,
- займаецца цяжкімі відамі спорту.

У большасці людзей ва ўзросце 40 гадоў можна знайсці наяўнасць артрозу на другой ці пазнейшай стадыі развіцця.
Асноўныя сімптомы
Вядома, змены ў храстковай тканіны не могуць адбыцца без сімптомаў. З хваробай чалавек можа скардзіцца:
- адчуванне дыскамфорту на каленях пасля прачынання альбо доўга -тэрміну ў сядзячым становішчы,
- Боль у нагах пасля доўгага становішча,
- Паленне, калі падымаецца на гару і ўверх па лесвіцы,
- Слабасць у нагах пасля невялікай нагрузкі, а таксама ў канцы дня.
- Некаторыя пацыенты занепакоеныя нават ноччу, падчас сну.
Важна! Хвароба не ўзнікае рэзка, яна развіваецца на працягу многіх гадоў. Боль на першых этапах можа быць нязначнай, але з цягам часу назіраецца пастаяннае павелічэнне.
Артраз каленнага сустава 1 градус
На гэтым этапе гонартраз толькі пачынае сваё развіццё, таму для чалавека працэс працягваецца практычна падчас бессімптомна. Аднак некаторыя прыкметы ўсё яшчэ можна ўбачыць.
Чалавек часта пачынае адчуваць стомленасць у нагах, адзначайце нязначнае зніжэнне рухомасці аднаго -двух каленных суставаў. Гэта з'ява асабліва характэрная раніцай, у першыя хвіліны пасля абуджэння.
Як правіла, дыягназ хваробы на гэтай стадыі ўзнікае выпадкова падчас X -RAY. На ім лекар можа адзначыць некаторыя парушэнні на храстках. Таксама можна звузіць прасвет паміж часткамі сустава.
Артраз каленнага сустава 2 градусы
Паталогія каленнага сустава пачынае выглядаць больш выяўленай. З'яўленне сіндрому болю характэрны, які выклікаецца любой дадатковай нагрузкай на сустаў.
Спасылка. На гэтым этапе боль праходзіць самастойна, пасля доўгага адпачынку.
Акрамя таго, на другім этапе сімптомы, такія як:
- Крычаць з пэўнымі рухамі. Яго можна назіраць як у адным, так і ў абодвух каленях. Хруст можа быць ледзь прыкметны, але паступова ён набывае грубы, гучны і вельмі выразны характар.
- Зніжаючы здольнасць цалкам сагнуць нагу ў калене. Некаторыя людзі могуць зрабіць гэта толькі ў куце 90 градусаў, потым з'явіцца непрыемнае адчуванне, і яны вымушаныя спыніцца.
- Некаторыя пацыенты з гонартразам 2 -га этапу пачынаюць скардзіцца на з'яўленне вострага болю, які ўзнікае, калі каленны сустаў сагнуты.
- Можна змяніць форму каленнага сустава, ён становіцца больш шырэйшым, набракаецца. Гэта звязана з назапашваннем паталагічнай вадкасці.

Калі дыскамфорт выяўлены ў вобласці калена, вы павінны пракансультавацца з лекарам, каб ён прызначыў правільнае лячэнне.
Артраз каленнага сустава 3 градусы
- На гэтым этапе назіраюцца вельмі моцныя змены храстка. На ім з'яўляюцца рост, якія маюць вялікі памер.
- Адзначаецца скрыўленне здзіўленай нагі. Ён набывае 0 формы або х-формы выгібу, які становіцца сур'ёзнай перашкодай для поўнага жыцця пацыента. У выніку чалавек можа стаць інвалідам.
- Характэрным з'явай 3 -га стадыі хваробы з'яўляецца сур'ёзная боль, якую можна назіраць пастаянна, узмацняючыся пасля любой, нават нязначнай нагрузкі.
- Чалавек заўважае адчувальнасць сустава да змен у надвор'і. Цяпер, калі цыклон набліжаецца, калена баліць, у ім узнікаюць адчуванні.

З узростам суставы пачынаюць рэагаваць на змены надвор'я і ціску.
Артраз каленнага сустава на 4 градусы
Гэта крайняя, заключная стадыя хваробы, у якой разрыў паміж косткамі цалкам адсутнічае.
Спасылка. Большасць артапедыстаў звязваюць чацвёрты этап трэцім. Гэта звязана з падабенствам сімптомаў і складанасці своечасовай дыягностыкі.
Паколькі назіраецца адсутнасць разрыву, рух суставаў проста немагчыма.
Акрамя таго, пацыенту мучаць невыносную, пастаянную боль, якую вызваляюць толькі сур'ёзныя абязбольвальныя прэпараты. Але пасля часу, калі дзеянне планшэта або ін'екцыі спыняецца, зноў з'яўляецца непрыемны сімптом.
Дыягностыка
Экспертыза пацыента пачынаецца з яго просьбы аб дапамозе спецыяліста. Яны могуць быць тэрапеўтам альбо артапедыстам.
Лекар слухае скаргі, збірае анамнезіс, праводзіць экзамен. Перш за ўсё, ён будзе зацікаўлены ў знешніх зменах у суставах, абмежаванні мабільнасці ў яе вобласці.

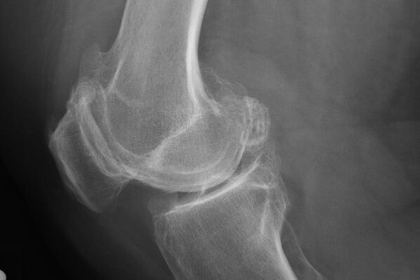
X -ray дапаможа вызначыць адхіленні ў храстку.
Пры праверцы пацыент скардзіцца на з'яўленне непрыемных адчуванняў, а з бляскам кубкі калена чуецца хруст.
Важна! Дыягназ немагчымы пасля аднаго візуальнага абследавання лекара, нават пры наяўнасці ўсіх прыкмет хваробы. Толькі комплексны экзамен дазваляе даць дакладнага адказу пра паталогію, якая цячэ ў калене.
Пасля абследавання лекар прызначае рэнтгенаграфію пацыента. Гэта асноўны метад дыягностыкі артрозу каленнага сустава любой ступені.
X -ray дае лекару ўяўленне пра змены, якія адбываюцца ў храстку сустава. Аднак у некаторых выпадках пачатковы этап не можа быць вызначаны на малюнку.
Пры неабходнасці лекар можа прызначыць неаднаразовы праход рэнтгенаўскай або вылічанай і магнітна-рэзананснай тамаграфіі.
Абыходжанне
Пры дыягностыцы гонартразу павінна пачацца неадкладнае лячэнне. Гэта дапаможа спыніць прагрэсаванне паталогіі, прадухіляючы шмат ускладненняў.
Тэрапія хваробы пераследуе адразу некалькі мэтаў. А менавіта:
- ліквідацыя сіндрому болю,
- памяншэнне цяжару іншых сімптомаў,
- максімальна магчымае аднаўленне здзіўленага храстка і звязкаў сустава,
- Павелічэнне рухомасці канечнасці.
Лячэнне хваробы ўключае такія метады, як:
- Медыкаментозная тэрапія,
- масаж, астэапатыя, рушная тэрапія,
- Хірургічнае ўмяшанне,
- медыцынская і прафілактычная фізічная культура,
- Фізіятэрапія.
Сыход за наркотыкамі
Спасылка. Наркатэрапія - асноўны метад лячэння хваробы. Аднак гэта найбольш паспяхова ў спалучэнні з іншымі метадамі.
Прэпараты, якія выкарыстоўваюцца для лячэння гонартразу, ўключаюць:
- Несцероідныя супрацьзапаленчыя прэпараты - Зніміце пацыента ад болю, зняць запаленне. Гэтыя прэпараты з'яўляюцца сімптаматычнымі сродкамі, не ўплываючы на прычыну хваробы. Яны змагаюцца толькі са сваімі праявамі, прыносячы часовае палёгку.
- Хондропротэктары - Аднавіць храстковую тканіну. Аднак эфект становіцца прыкметным не адразу. Такім чынам, лекі валодаюць кумулятыўнымі (назапашанымі) уласцівасцямі, таму арганізм патрабуе часу для поўнага эфекту.
- Гарманальныя прэпараты. Іх прызначаюць, як правіла, з запушчанымі этапамі хваробы. Гэтыя сродкі могуць хутка зняць ацёк і запаленне тканін вакол сустава. Недахопам гэтага класа лекаў з'яўляецца сістэмны ўплыў на арганізм, у якім магчыма шмат непажаданых пабочных рэакцый. Яны прызначаюцца толькі ў адным курсе падчас абвастрэння працэсу.
- Знешнія лекі, прызначаны для зняцця болю. Выпушчаны ў выглядзе мазі, крэму.
- Гіалуроновая кіслата. Гэта новае рашэнне пры лячэнні гонартразу. Гэта ўнутры -арпатыкальнае ўвядзенне сродку, якое сілкуе сустаў. Ён мае даволі высокую эфектыўнасць. Аднак гэты метад характарызуецца такімі недахопамі, як: магчымасць выкарыстання толькі на пачатковых этапах хваробы і высокай кошту прэпарата.
Важна! Увядзенне наркотыкаў у разрыў суставаў дапушчальна за 7-10 дзён.
Масіраваць
Масаж, а таксама ручное і астэапатычнае лячэнне накіраваны на:
- Ліквідацыя болю,
- пераадольваючы калянасць рухаў у каленях,
- паляпшэнне кровазабеспячэння на месцы храстка,
- забяспечваючы пажыўныя рэчывы і кісларод у зоне запалення.
Спасылка. Масаж і падобныя працэдуры павінны ажыццяўляцца толькі чалавекам, які мае спецыяльную адукацыю. У адваротным выпадку вы можаце нанесці шкоду і пагоршыць стан сустаў.
Хірургічнае ўмяшанне
Гэта надзвычайная мера ў лячэнні артрозу, калі хвароба надзвычай грэбавана, а іншыя метады тэрапіі бяссільныя. Часцей за ўсё выкарыстоўваецца эндапратэтыка, у якой здзіўлены сустаў замяняецца імплантатам.
Пратэзаванне можа быць двух тыпаў:
- Поўны - увесь стык замяняецца,
- Частковая - толькі самая зношаная частка сустаўнага сустава падлягае замене.
Супрацьпаказанні да пратэзавання:
- хранічныя пубурныя інфекцыі;
- нервова -цягліцавыя парушэнні;
- паталогіі вен;
- Шэраг сардэчна -сасудзістых захворванняў.
Іншы варыянт - карэкцыя остеотомии. З дапамогай гэтага метаду ў сустава ўстаўляецца пласціна, зніжаючы ціск на здзіўлены ўчастак калена.
Фізічная тэрапія
Гэта рэгулярнае і правільнае ўкараненне шэрагу фізічных практыкаванняў, накіраваных на ўмацаванне сустава і аднаўленне яго мабільнасці.
Гэтая працэдура можа ажыццяўляцца самастойна дома, раней звязаўшыся з спецыялістам па кансультацыю.
Папярэджанне
Выконваючы простыя правілы, прадухіліць узнікненне або абвастрэнне знішчэння храстка. Для гэтага вам трэба:
- Выконвайце дыету. Гэта паспрыяе кантролю масы цела, забяспечыць арганізм усе неабходныя вітаміны і мінералы.
- Прытрымлівацца пэўных відаў спорту, адмаўляючыся ад іншых. Справа ў тым, што пры гонартразе празмерныя нагрузкі на каленях надзвычай непажаданыя. Па гэтай прычыне бегчы і скакаць лепш замяніць на ровары, плаванне альбо акваэробік.
- Рэгулярна выконваюць тэрапеўтычныя практыкаванні.
- Насіце зручную і артапедычна правільную абутак. Насіць шпількі і высокія абцасы недапушчальна, плоская падэшва, аддаючы перавагу абутку з невялікай пяткай.
Артроз каленнага сустава - гэта даволі распаўсюджанае захворванне, якое можа застацца незаўважаным на працягу доўгага часу. Нягледзячы на бессімптомны пачатак, гонартраз можа прывесці да сур'ёзных ускладненняў да інваліднасці. Таму так важна праводзіць дыягностыку ў часе і пачаць неабходнае лячэнне.

















































